| |
Undifferentiated carcinoma with ductal and
adenosquamous component
overview: x2.5
All tumor parts (from top to bottom)
Ductal elements
Squamous component
Undifferentiated part |
 |
|
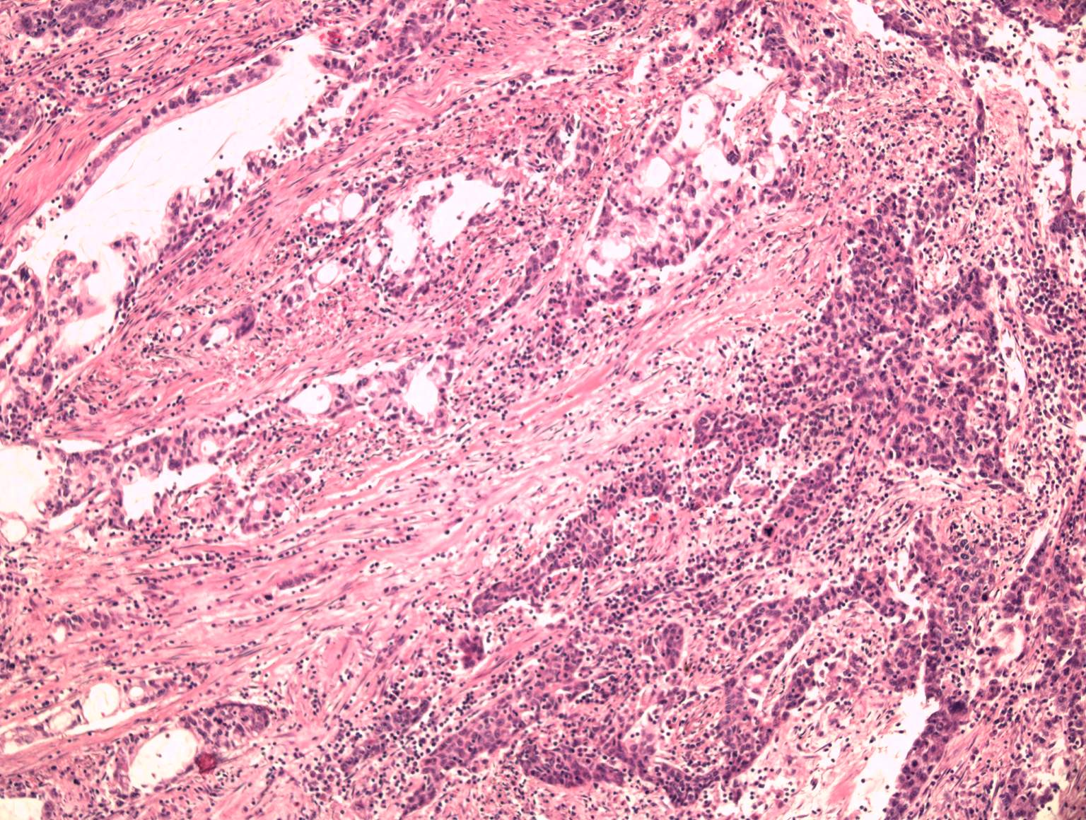
| |
Undifferentiated carcinoma with ductal and
adenosquamous component
detail: x10
Adenosquamous component
|
 |
|
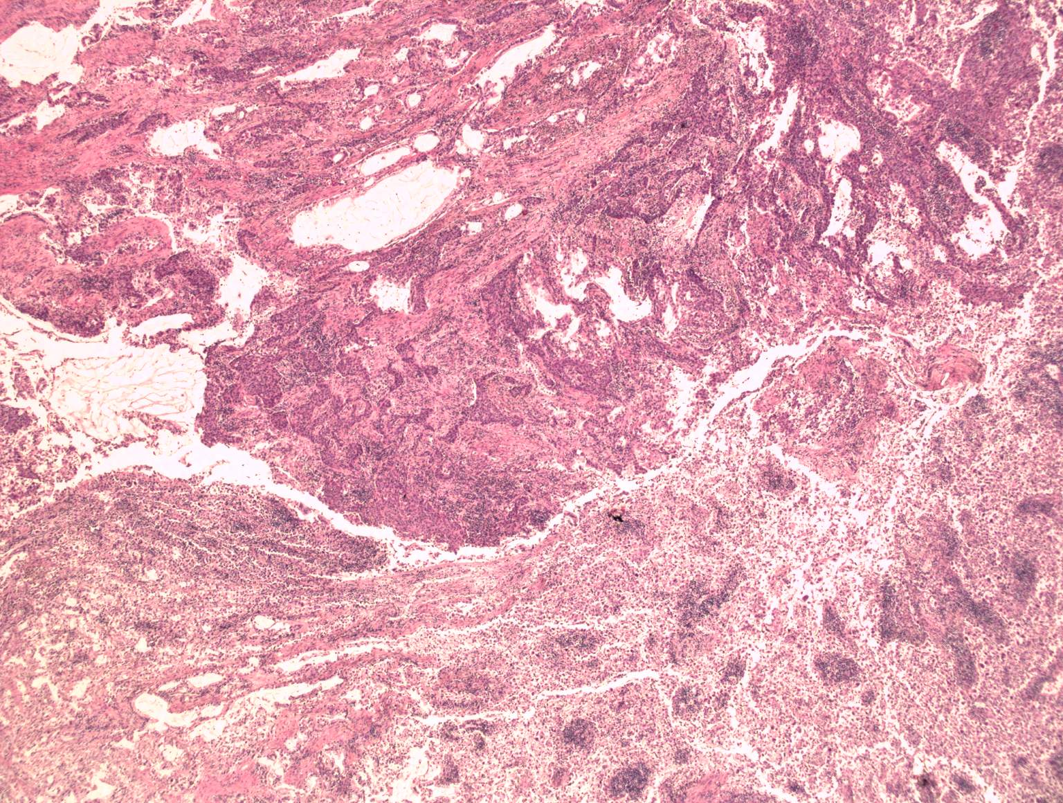
| |
Undifferentiated carcinoma with ductal and
adenosquamous component
detail: x40
Adenosquamous component with keratinization
Note: pathological, tripolar mitosis |
 |
|
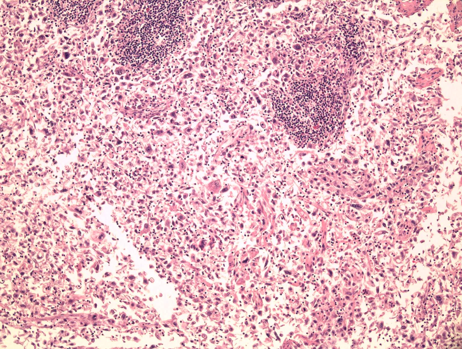
| |
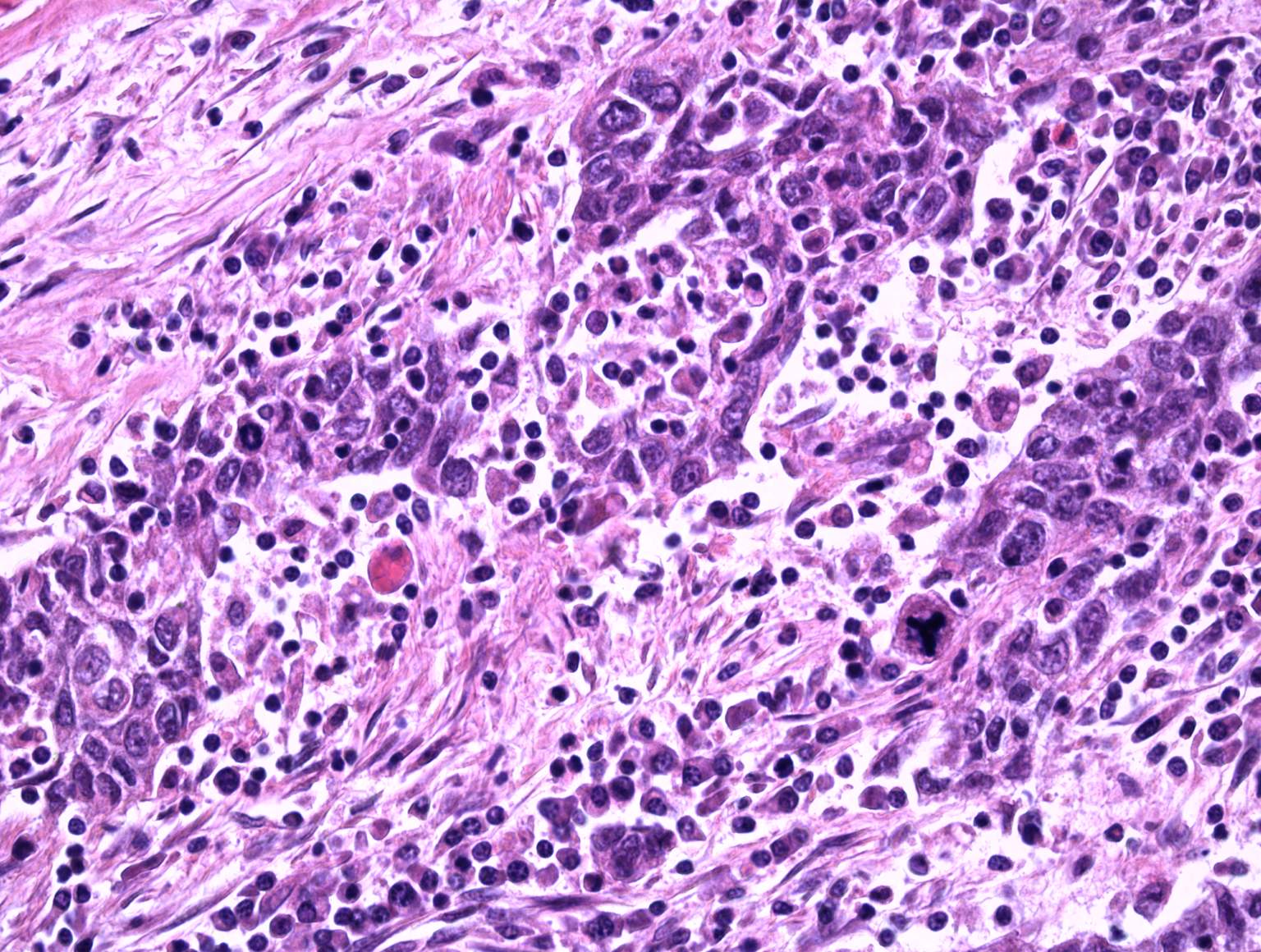
Undifferentiated carcinoma with ductal and
adenosquamous component
detail: x10
Undifferentiated carcinoma
|
 |
|
|
Description? |